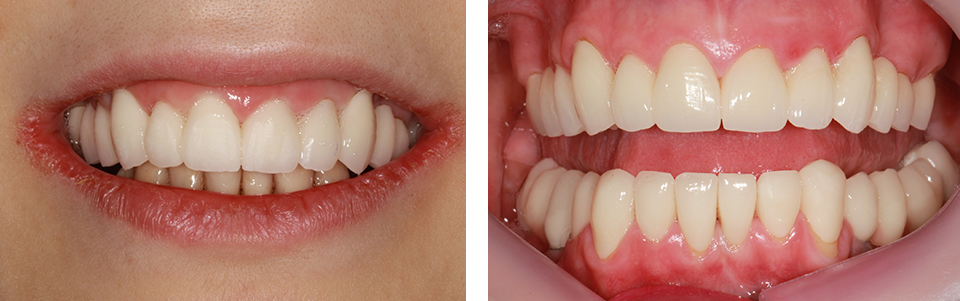
Pacienta, in varsta de 25 de ani, s-a prezentat la Medical Tours Company cu grave probleme dentare: multiple leziuni carioase complexe, resturi radiculare, infectii si dureri de dinti. Motivele care au determinat-o sa-si doreasca inceperea cat mai rapida a tratamentelor au fost in primul rand de natura functionala, dar si estetica.
Dupa evaluarea cazului, planul de tratament propus de medic a fost unul complex, cuprinzand tratamente, cat si pe dintii naturali.
Medicul curant, dr. Adrian Carstoiu, a decis ca in prima etapa sa se realizeze tratarea si reconstructia dintilor care au mai putut fi salvati si extractia resturilor radiculare. Pentru o vindecare rapida si in conditii optime, medicul a optat pentru coroane provizorii realizate in laboratorul propriu al clinicii cu ajutorul tehnologiei computerizate CAD-CAM.
In urmatoarea etapa a tratamentelor, s-a realizat aplicarea implanturilor dentare; ulterior, la finalul perioadei de vindecare recomandate de specialist, s-a inceput ultima etapa a planului de tratament – respectiv, partea protetica.
Deoarece una dintre preocuparile pacientei era estetica zambetului, specialistul i-a recomandat coroanele din ceramica pe suport de zirconiu, datorita avantajelor lor incontestabile: compatibilitate, acomodare rapida, rezistenta si estetica superioare altor tipuri de coroane dentare, dar si un aspect natural al dintilor.
In acest caz, reabilitarea a fost una complexa, impusa de cazuistica, asa incat tratamentele au durat in total 8 luni, insa la finalul acestora pacienta este pe deplin multumita de rezultate: a obtinut o dantura perfect functionala, iar zambetul este de-a dreptul molipsitor!
Daca va preocupa functionalitatea si estetica zambetului si doriti sa aflati care ar fi solutia potrivita in cazul dvs., specialistii Medical Tours Company va asteapta la o consultatie, sunati-ne pentru o programare: 0730 030 400!





